05 грудня 2024

19:00 за київським часом

Діагностика у стоматології

  • клініка
  • діагностика
  • менеджмент

30 днів

Важливо: запис вебінару доступний 30 днів з моменту проведення вебінару

Сертифікат

Після перегляду вебінару, протягом 7 днів вам на пошту прийде лист із сертифікатом, якщо ви купували запис вебінару, напишіть нам і ми надішлемо сертифікат

Бали за перегляд

Бали за перегляд вебінару Після перегляду нашого вебінару вам нараховується 1 бал за БПРВ. Це стосується лише платних вебінарів

Діагностика у стоматології

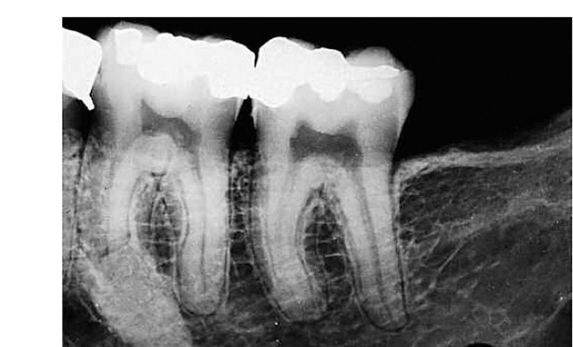
Тематика даного вебінару зазвичай є початковою у всіх циклах вебінарів стоматології та ендодонтії. Без якісної діагностики неможливо визначити прогноз лікування, отже, є сенс займатися лікуванням. За 2 години будуть дані принципи первинної діагностики ендодонтичного пацієнта, після виконання яких можна буде з високою достовірністю спрогнозувати успішність лікування. Будуть представлені клінічні кейси онкологічних пацієнтів, які без додаткових знань можна вважати звичайною періапікальною патологією. Розглянуто складні діагностичні ситуації та послідовність роздумів про прийняття рішення в них. Звичайно всі протоколи мають тільки практичне значення і представлені виходячи з останніх трендів в ендодонтії.

Ви навчитеся правильно проводити холодовий тест Ви навчитеся правильно проводити холодовий тест та інтерпретувати його, визначати причинний зуб за кількох можливих «винуватців», зможете визначити вітальність зуба під коронкою та визначити вітальний зуб при пульпіті в тотальній роботі, що є складною клінічною процедурою. Окрема увага виділиться зондуванню з погляду ендодонтиста як останньої процедури, яку необхідно провести, перш ніж дати пацієнтові відповідь про прогноз.

Основні пункти:

Зонування ПДЛ, холодовий тест, порівняльна перкусія, пальпація, дрілл тест, вибіркова анестезія, трейсинг, порівняння інформативності КТ та інтраорального тесту, правильні укладання для проведення якісних рентгенографічних досліджень, як своїми руками зробити позиціонер для інтерпроксимального знімка. Складні клінічні кейси, які потребують клінічного досвіду.

А також діагностика одонтогенних та неодонтогенних патологій за знімком.

  • Діагностика в ендодонтії.
  • Складання плану лікування.
  • Методи клінічної діагностики.
  • Що впливає на успішність ендо.
  • Статистика успішності.
  • Визначення придатності зуба до лікування та подальшого відновлення.
Ігор Ноєнко

Діагностика у стоматології

  • 2 лютий 2024
  • 19:00 за київським часом
Поширені запитання
  • Так.
  • 1. Якщо ви купили вебінар у записі, посилання прийде протягом 5 хвилин на пошту, якщо посилання не надійшло перевірте папку спам. 2. Якщо ви купили участь у вебінарі, підтвердження одразу прийде на пошту, а за день та за годину до початку вебінару ви отримаєте посилання на участь.
  • Після перегляду вебінара в прямому ефірі протягом 7 днів вам на пошту прийде лист із сертифікатом. Якщо ж ви купували запис вебінара, вам потрібно написати нам - і ми надішлемо сертифікат.
  • Актуальну інформацію по балам дивіться на сторінці вебінара.
  • Онлайнова оплата LiqPay або Приват24. Ви можете оплатити замовлення онлайн банківською карткою Visa та / або MasterCard. Після вибору цього різновиду платежу Ви будете переадресовані на сторінку системи безпечних платежів банку, де Вам необхідно буде підтвердити оплату. Після оплати вам на пошту надійде лист із покликанням на вебінар. З питань повернення або технічних моментів звертайтесь до адміністратора: stomatwebinar30@gmail.com, Viber/Whatsapp +380 96 648 52 80
  • Ми надаємо знижку 20% на купівлю серії вебінарів. Детальніше можете ознайомитись тут.

Служба підтримки

Ми завжди допоможемо вирішити Вашу проблему якнайшвидше. Ми не використовуємо ботів і до кожного клієнта маємо індивідуальний підхід.

Служба підтримки

Ми завжди допоможемо вирішити Вашу проблему якнайшвидше. Ми не використовуємо ботів і до кожного клієнта маємо індивідуальний підхід.